
طبيب الأسنان أحمد خالد سرحان نموذج مشرف يحتذي به في الأخلاق والرحمة رافع شعار العلاج للجميع وليس مقتصر علي القادرين فقط
حوار هاجر عبد العليم
طبيب الأسنان احمد خالد سرحان خريج كلية طب أسنان من جامعة طنطا ،يبلغ من العمر 25عاما وهو ابن محافظة المنوفية وهو نموذج مشرف لكل شاب حديثي التخرج ،فهو طبيب بدرجة انسان في قلبه رحمه يشعر بالمريض ويساعد الحالات الغير قادره في تخفيض سعر الكشف وفي بعض الحالات يكون الكشف مجانا للحالات المحتاجه،وهو ولديه طموح أن يصنع حملات توعية بصحة الأسنان، وخاصة للأطفال والناس البسيطة، ولهذا كان لنا معه حوار خاص وممتع في هذا السياق وكما أنه حدثنا عن الاجهزه الحديثة والمتطورة حاليا في طب الاسنان وذكر لنا اضرار ومخاطر الخطأ الطبي الذي يتعرض له شخص بسبب الإهمال

لماذا اخترت مجال الطب وبالتحديد طب الاسنان ؟
من وانا صغير محب لمجال الطبي، واحب العمل فيه لأن به تفاصيل وفن وتفكير فشعرت إن طب الأسنان هو الأنسب لي لأنه بيجمع بين الطب والفن، وكمان بيساعدني أكون سبب في راحة الناس وثقتهم في نفسهم وربنا كرمني وفتحت عيادتي الخاصة باسم “ياقوت” في مركز الشهداء – المنوفية – شارع بورسعيد
ماذا عن اهم أهدافك وطموحاتك ؟
اتمني أن أكون طبيب مميز و أطور من نفسي، وأوفر خدمة محترمة بأسعار في متناول الناس. ولدي إن طموح أن أصنع حملات توعية بصحة الأسنان، خاصة للأطفال والناس البسيطة

لماذا قررت أنك تكون قريب من الناس وتساعد الحالات الغير من الناس وتقوم علي خدمة المجتمع ؟
العلاج حق لكل الناس، وليس فقط مقصور علي القادرين ولذلك بسعي أكون قريب من الناس واخفض سعر الكشف، لكي أقدر أخدم ناس أكتر
وفي ذات الوقت احرص علي أن لا أقلل من جودة الخامات وان شاء الله اقدر اساعد كل الناس
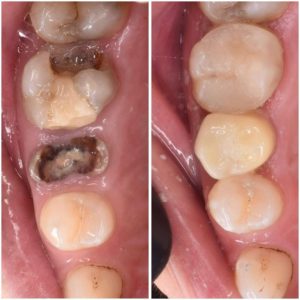
حدثنا عن احدث الاجهزه الحالية في مجال طب الأسنان ؟
اليوم فيه أجهزة متطورة في طب الأسنان مثل :
جهاز CAD/CAM الذي بيصمم التركيبات ويجهزها في نفس اليوم
الليزر اللي بيساعد في علاج اللثة والجراحة من غير ألم
والأشعة الرقمية التي تعطي نتائج دقيقة وسريعة مع نسبة أمان أعلى
جهاز intraoral scanner نقدر ناخد مقاس التركيبات والعضة في وقت قليل وبدون استخدام العجين مثل زمان


ماذا عن المشاكل الصحية التي يواجهها المريض إذا تلقي علاج خاطئ ؟
العلاج الخطأ ممكن يسبب التهابات شديدة، أو فقدان للأسنان، أو حتى مشاكل صحية أخطر لو أهملت فيها لذلك لازم كل دكتور يعمل اقصي ما عنده ويكون عنده ضمير
وماهي اهم الصعوبات التي تواجهها ؟
أصعب حاجة كانت البداية، خصوصا تجهيز العيادة من الصفر وقلة الخبرة والخوف من المنافسة. ولكن الصبر ومحاولة أكون مميز بخدمتي، بدأت الناس تعرفني وأكسب ثقتها
والحمدلله اي شخص بيتردد عليا في العيادة يقوم و يرشحني لأصحابه وقرايبه وبدأت اتشهر واحدة واحدة
بم تنصح الشباب ؟
أنصح أي شاب إنه يصبر ويشتغل على نفسه، وما يستعجلش علي النتيجة. النجاح محتاج وقت وتعب، ولكن في الآخر النتيجة بتستاهل
وربنا قال ‘ وان ليس للانسان الا ما سعي وان سعيه سوف يري ثم يجزاه الجزاء الاوفي ‘ هذه اكتر أيه بتشعرني براحة نفسية وبتجعلني دائماً اسعي لكي اكون شخص احسن من الذي انا عليه انا الان
لمن توجه الشكر ومن مثلك الاعلي ؟
أحب أشكر أهلي على دعمهم المستمر، وخطيبتي ريهام التي كانت دائما بجواري في كل خطوة. ومثلي الأعلى هو أي حد بدأ من تحت وكافح الي أن يصل لخطوات النجاح





